
医师报讯(通讯员 马向明)近日,开滦总医院肝胆外科二病区收治了一位罕见疾病且病情复杂的79岁女性患者。患者因间断上腹痛10月余,近期加重伴黄疸、发热入院。经全面检查后,多学科密切配合,成功为其实施腹腔镜手术,确诊并处理了罕见的胆囊异物合并胆囊胃瘘。目前患者已康复出院,标志着该院在处理复杂胆道疾病方面再上新台阶。
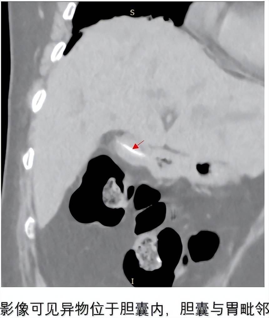
患者为79岁女性,因“间断上腹痛10月余,加重伴皮肤巩膜黄染、寒战发热3天”入院。既往有高血压病史5年,无手术史。入院后CT检查提示:胆囊结石、胆囊积气,胆囊内可见条索状高密度影,胆囊与胃毗邻,肝内外胆管扩张、胆总管下段结石。这种影像学表现高度提示可能存在胆囊胃瘘——一种临床上极为罕见的并发症。


面对罕见病例,开滦总医院肝胆外科二病区与CT室等相关专家立即展开深入讨论。结合患者CT显示的胆囊内金属密度影、胆囊积气以及胆囊与胃紧密连接的特征,专家团队高度怀疑存在胆囊胃瘘,同时合并胆囊结石、胆总管结石。经过充分论证,决定为患者实施腹腔镜探查+胆囊切除+胆总管切开取石+T管引流术,并做好术中处理瘘口的准备。
术中探查发现,胆囊体部与胃窦上侧胃前壁之间存在异常通道,证实为胃胆囊瘘。手术团队沉着应对,先行瘘口修补,随后顺利完成胆囊切除术及胆总管切开取石术。术后剖开切除的胆囊,竟发现一枚质软结石,其核心为一长约2cm、直径约1.5mm的金属异物!这枚异物正是引发一系列病变的“元凶”。术后患者恢复顺利,无并发症,如期出院。
长宏网提示:文章来自网络,不代表本站观点。